
Prime Dental: Root Canal
Located at 21929 Highland Knolls Dr, Katy, TX 77450, Prime Dental, led by Dr. Zaid, specializes in performing root canal procedures to save teeth and alleviate discomfort.

Located at 21929 Highland Knolls Dr, Katy, TX 77450, Prime Dental, led by Dr. Zaid, specializes in performing root canal procedures to save teeth and alleviate discomfort.
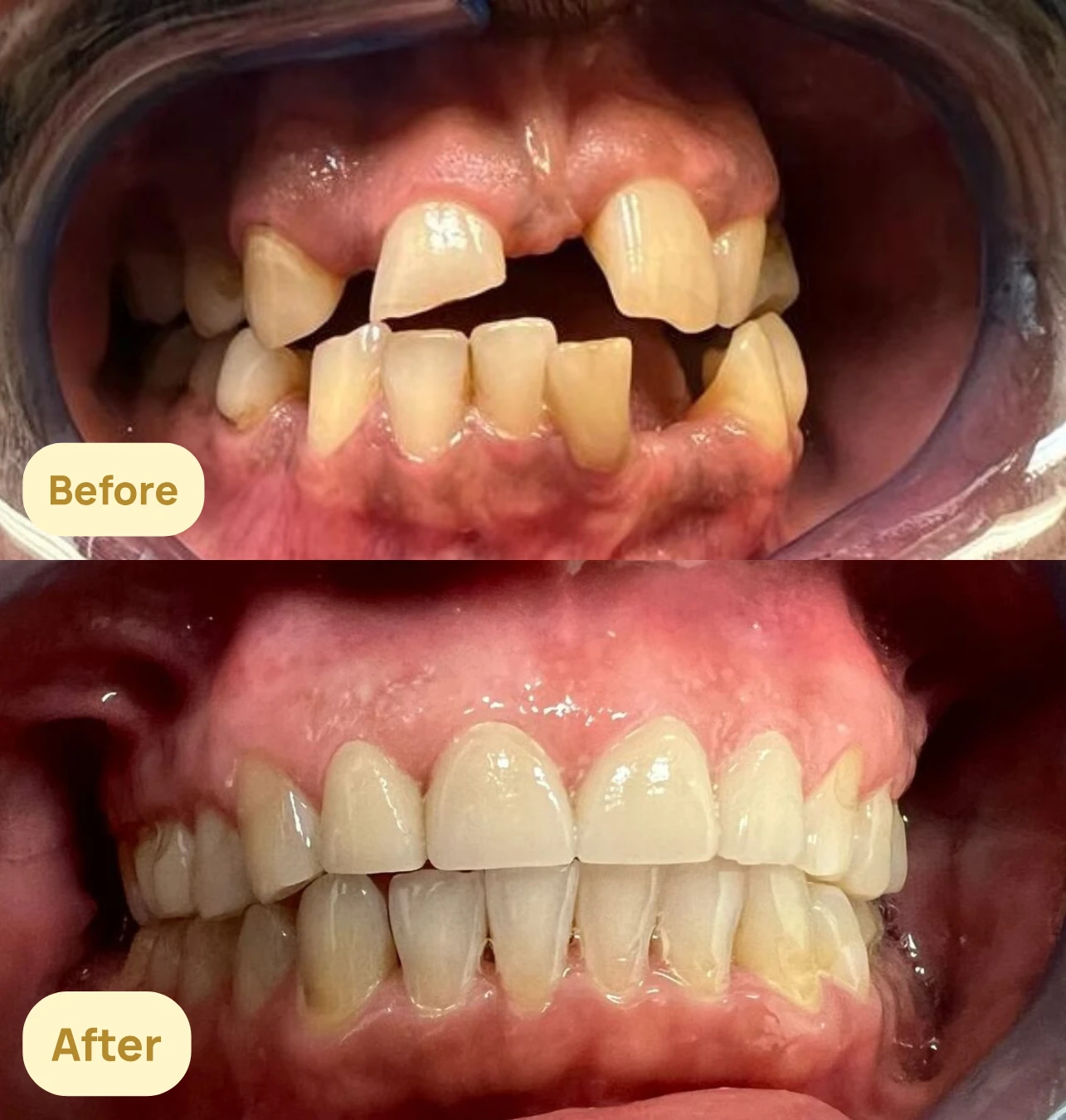
A root canal is a treatment to remove the damaged or infected pulp from within a tooth, alleviating pain and stopping the spread of infection, thereby saving the tooth.










Symptoms that may necessitate a root canal include severe toothache, prolonged sensitivity to hot or cold temperatures, tooth discoloration, swollen gums near the affected tooth, and a visible crack or damage in the tooth.
A root canal procedure typically takes about 90 minutes to complete, depending on the complexity of the tooth and the extent of the infection.
With modern anesthesia and techniques, a root canal is generally not painful. Most patients experience relief from their pre-treatment pain and minimal discomfort during the procedure.
After a root canal, you may experience some sensitivity or discomfort in the treated area, which usually subsides within a few days. It's important to follow your dentist's aftercare instructions to ensure a smooth recovery.
Clear, flexible options to help you start your smile journey with confidence.
Cost depends on your case complexity and how long your plan takes. We confirm your exact estimate after your evaluation.
Split your treatment into manageable monthly payments—our team will guide you to the best option.
Save up to 10% with our Dental Savings Plan and enjoy added value on your care.
Every smile is different—your plan and pricing are tailored to you.




EXCELLENT Based on 393 reviews Posted on Noor AlbassamTrustindex verifies that the original source of the review is Google. I had a fantastic experience with Dr. Omeed, who performed my wisdom tooth extraction. He was professional, gentle, and made the entire process smooth and stress-free. Dr. Quaddoura, the anesthesiologist, was excellent—he made me feel completely at ease and ensured everything went perfectly. Rayan, the dental assistant, was also wonderful—friendly, attentive, and very supportive throughout the procedure. A big thank you to Jumana, the office manager, who was incredibly helpful and kind while guiding me through the insurance process. The entire team was welcoming, efficient, and genuinely cared about my comfort. Highly recommend!Posted on David VelasquezTrustindex verifies that the original source of the review is Google. Made me feel at home from the first appointment. Thanks for your professional support 🙏Posted on diana sharafTrustindex verifies that the original source of the review is Google. their treatment is nice ., and the place is clean . and gentle doctor ♥️Posted on Waleska PantojaTrustindex verifies that the original source of the review is Google. Amazing experience! From the moment I arrived, the attention was impeccable. The office is beautiful, clean, and modern, and the entire team is professional and welcoming. I felt comfortable right away. They’ve definitely become my primary dentists. Highly recommended!Posted on Woo HanTrustindex verifies that the original source of the review is Google. Dr. Abed was very considerate of my terrible previous crown experience from another dentist during my crown procedure with him. They were also very responsive through their text messaging system even during after hours.Posted on marketa wrightTrustindex verifies that the original source of the review is Google. Dr. Abed is an amazing dentist. He is a perfectionist. I love his attention to detail. Afyia is also amazing. She is always very polite. I give Prime Dental 10/10.Posted on Ultimum Home ServicesTrustindex verifies that the original source of the review is Google. The best!!!!Posted on robert davisTrustindex verifies that the original source of the review is Google. The best dentist experience ever! Dr Zaid and staff are extremely helpful and treated me with a smile and professionalism! ⭐️ ⭐️ ⭐️ ⭐️ ⭐️